インビザラインGoとは?
見える前歯の部分矯正
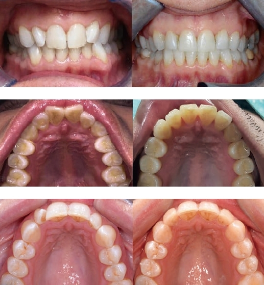
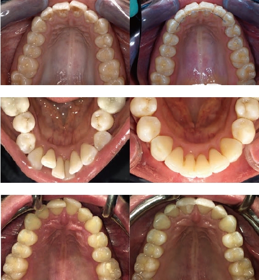
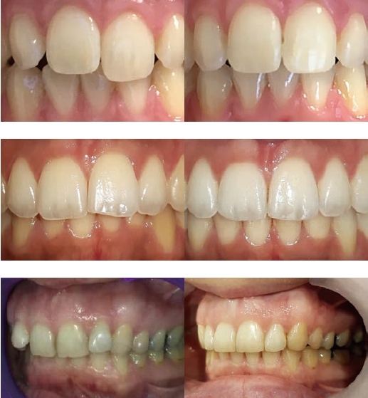
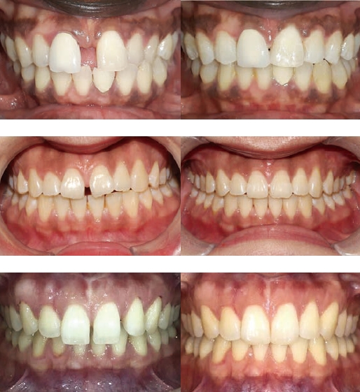
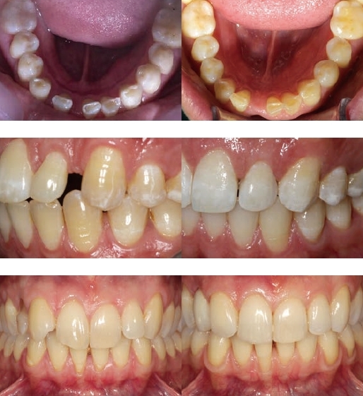
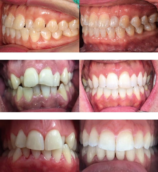
インビザラインGoは、前歯から小臼歯までの歯並びを整える「部分矯正」に特化したマウスピース型矯正治療です。透明なマウスピースを使用するため、目立ちにくく、日常生活に支障をきたしにくいのが特徴です。軽度の歯並びの乱れに対応し、短期間・低価格で理想のスマイルを目指せます。
短期間で歯並びを改善したい、
こんな方におすすめ
- 費用、期間をかけたくないが、実は前歯の歯並びが気になっている
- 結婚式、就活等のイベントを1年以内に控えている
- ホワイトニングなどの審美ケアをしているものの、笑顔にもっと自信を持ちたい
インビザラインGoの特徴
| 特徴 | 詳細 |
|---|---|
| 透明で目立ちにくい | マウスピースは薄くて透明。装着していても気づかれにくい。 |
| 取り外し可能 | 食事や歯磨きの際に外せるため、衛生的で快適。 |
| 治療期間が短い | 約3〜6ヶ月で完了するケースが多く、通院も月1回程度。 |
| デジタル診断 | 光学スキャナーで歯型を採取し、3Dシミュレーションで治療計画を立案。 |
| 費用を抑えられる | 全体矯正に比べて治療範囲が限定されているため、費用負担が軽減。 |
治療の流れ・費用
無料相談・診査
歯並びの状態を確認し、インビザラインGoが適応可能か診断します。
無料
光学スキャン・シミュレーション
専用スキャナーで歯型を採取し、治療後の歯並びを3Dで確認できます。
3万3千円(税込)
クリンチェック(治療計画の説明)
一人ひとりに合わせた歯並びの変化を、3Dシミュレーションでご確認いただけます。
治療開始
オーダーメイドのマウスピースを装着し、段階的に歯を移動させます。
38万5千円(税込)
定期チェック
1〜2ヶ月に1回の通院で進行状況を確認し、必要に応じて調整します。
調整料無料
治療完了・保定
歯並びが整ったら、後戻り防止のためのリテーナー(保定装置)を使用します。
保定装置 3万3千円(税込)








